36 KiB
Neural Systems
- Circuits of interconnected components (neurons). Group structure (in space, time) for sub-systems concerned with sensory-input or motor-output.
- Many circuits function between these sub-systems, mediating functional interactions (associations) across modalities. Associational systems are the most complex and least well characterized neural sub-systems.
Note:
Last time we learned some of the basic cellular anatomy of the nervous system. Today we will put the system in nervous system–– because nervous systems really are greater than the sum of its parts… in other words our brain is not just a blob of cells but it is the inter-connections between cells, groups of cells, and brain regions that allow our fantastic feats of emergent biological computation. So lets discuss the overall the structure of the nervous system.
First of all it is a system of systems. In other words…
--
What is a system?
- system (wn, noun)
- (a procedure or process for obtaining an objective;)
- (a group of independent but interrelated elements comprising a unified whole;)
- ((physical chemistry) a sample of matter in which substances in different phases are in equilibrium;)
- (a group of physiologically or anatomically related organs or parts; "the body has a system of organs for digestion")
- (the living body considered as made up of interdependent components forming a unified whole;)
Note:
Major components of the nervous system and their functional relationships
Note:
Left: movie on left illustrates where the central nervous system is in our bodies.
Middle: illustrates the two top level systems of the nervous system, the CNS containing the brain and spinal cord and the PNS containing nerves and ganglia exiting the spinal cord.
Right: outlines the functional hierarchy of different components or systems within the whole nervous system. This includes relations between the internal and external environment with and sensory receptors in the PNS as well as the relation between skeletal muscle and smooth, cardiac muscles that the nervous system controls.
Don't worry too much about memorizing the exact details of diagrams such as this, focus on the major concepts and their relations
- right vagus nerve primarily innervates the SA node, whereas the left vagus innervates the AV node
- pns supplies smooth muscles, cardiac muscles, and glands. functions to maintain homeostasis, and is concerned with involunary functions.
Anatomy terms
- Nerves– bundles of axons, enveloped by glial cells that myelinate them
- White matter– areas of axon tracts
- Grey matter– areas of cell bodies
Note:
- white matter: so named because of the bright shiny appearance to the naked eye
- gray matter: so named because it is less bright, a little more dull looking. But nothing dull about it.
--
Common techniques to visualize brain structure
Note:
- Cell stain is Nissl stain
- Fiber stain is Luxol Fast blue
- Luxol fast blue stain
- stain and observe myelin for light microscopy
- a copper phthalocyanine dye
- soluble in alcohol
- binds bases found in lipoproteins of myelin sheath
- Hematoxylin and eosin stain
- H&E stain
- Hematoxylin is also called natural black 1, it is a chemical from the heartwood of the logwood tree
- hemalum is formed from aluminum ions and hematein (an oxidation product of hematoxylin) and binds to DNA, staining nuclei dark blue
- eosin stains hydrophilic cytoplasm, generally intra- or extra- cellular proteins staining tissue red
- Nissl stain
- basic dyes (e.g. aniline, thionine, or cresyl violet)
- stain negatively charged RNA blue
- Nissl substance (rough endoplasmic reticulum)
- Thionine
- thionine acetate or Lauth's violet
- tetramethyl thionine is methylene blue
- aniline
- aromatic amine
- precursor to polyurethane and many industrial chemicals
- indigo dye prepared from aniline
- Nissl substance
- large granules of RER with rosettes of free ribosomes
- sites of protein synthesis
- found in neurons
- named for Franz Nissl
- Heidenhahn
- 1892
- lithium carbonate
- myelin stain
--
Magnetic resonance imaging (MRI)
Note:
MRI
- Uses rotating magnets to generate image
- Non-invasive
- Can view images from any angle
- Resolution can be less than 1 mm
- Can be adapted to do functional MRI imaging
fMRI
- Oxy-hemoglobin and deoxy-hemoglobin have different magnetic resonance signals
- Brain areas activated by a specific task utilize O2, then a pulse of O2 comes back and creates an influx of oxy-hemoglobin
- Can repeat task many times over
- Spatial resolution– millimeters
- Temporal resolution– seconds
Cell bodies that do similar things are grouped together
- PNS– Nerve cell bodies are located in ganglia (ganglia have neurons and glia in them). Dorsal root ganglia, cranial nerve ganglia
- CNS– Nuclei are compact accumulations of neurons having roughly similar connections
- Cortices (cortex)– sheets of cells of similar function
Note:
The term we use for cell bodies grouped together in the PNS is ganglia. In the CNS cell bodies are accumulated together as nuclei or if they are arranged in highly ordered sheets or lamina it is called cortex.
- Cortex
- latin for bark
- outermost (or superficial) layer of an organ
- kidney cortex
--
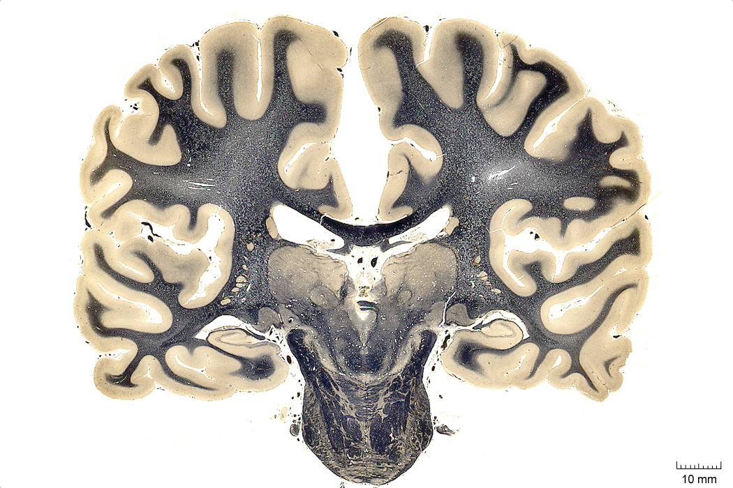
Cell groupings: cortex vs nuclei

Note:
Here is one of those cell body violet stained sections-- you can see the cortical sheet and different subcortical nuclei in the thalamus, etc. We will go over this in more detail later.
Basic parts of the CNS
- cerebral hemispheres (cerebral cortex)
- diencephalon (thalamus, hypothalamus)
- cerebellum
- midbrain
- pons
- medulla
- spinal cord
Note:
These are the basic parts of the CNS
Forebrain (prosencephalon): telencephalon (cerebral hemispheres) + diencephalon (thalamus)
Brain stem: Mesencephalon (midbrain) + rhombencephalon (pons + medulla). Brain stem includes the midbrain, pons, medulla, and a portion of the spinal cord
Spinal cord
Note the order of nerves representing incoming and outgoing info from a specific location on the body.
Anatomical terminology for CNS locations
Note:
Anatomical terminology for the three axes of the brain
Note:
Spinal cord
- Extends from the base of the skull to the first lumbar vertebra
- Receives sensory info from skin, joints, and muscles of trunk and limbs and contains motor neurons responsible for both voluntary and reflexive movements
- Nerve fibers bundled in 31 pairs of spinal nerves. There is a sensory division (dorsal root ganglia) and a motor division (ventral root)
- Is thicker in regions that innervate the limbs
Note:
Lets start with the spinal cord which in human contains about 1 billion of your 100 billion neurons in your nervous system.
It extends…
It receives sensory…
So it carries both afferent and efferent information.
Nerve fibers…
Is thicker…
- cervical enlargement
- refers to thickening where nerves supplying forelimbs attach. Between 5th cervical vertebrae and 1st thoracic vertebrae (C5 to T1)
- lumbar enlargement
- nerves which supply the lower limbs. 11th thoracic vertebrae to second sacral vertebrae (T11 to S2)
- cauda equina
- nerves that innervate the pelvic organs and lower limbs. Includes motor innervation of the hips, knees, ankles, feet, internal anal sphincter and external anal sphincter.
Spinal nerves: cervical, thoracic, lumbar, sacral, coccygeal
Spinal cord
Note:
This illustrates the overall structure of the spinal cord.
- sympathetic chain ganglia
- stress, flight or flight response, epinephrine
- 20–30K cell bodies
Internal anatomy of the spinal cord
- Contains both white and grey matter
- Grey matter shaped like an 'H'. Dorsal horns and ventral horns
- Dorsal horns contain sensory relay neurons– receives input from periphery (afferent)
- Ventral horns contains motor neurons that innervate muscles– send output (efferent)
- Interneurons are in intermediate zone
- White matter contains longitudinal tracts of ascending and descending axons grouped together by function
Note:
- Preganglionic visceral motor neurons (innervate glands) are found in the intermediate/lateral region
Internal anatomy of the spinal cord
Note:
ventral nerve cord: the nervous system of bilaterians like nematodes, annelids and the arthropods (insects)
neural tube/dorsal nerve cord: chordates (fish, amphibians, reptiles, birds, and mammals)
Spinal cord tracts
- Dorsal column– carries sensory signals up to the brain
- Lateral columns– also called the cortico-spinal tracts. Carries signals from brain to interneurons and motor neurons in ventral horn
- Ventral columns (sometimes called anterolateral column)– carries pain signals up and motor signals down
Note:
Dorsal column-sensory info travels up to the brain.
Lateral columns-also called the cortico-spinal tracts. Take info from brain and sends it to the muscles.
Ventral columns (sometimes called anterolateral column)- carry pain info up and motor info down.
-Cervical enlargement: Gray matter expanded to incorporate more sensory input from limbs and more cell bodies for motor control of limbs
Rexed's laminae are cytoarchitectonic divisions of spinal cord gray matter, see Table A1 ...don't worry about knowing the lamina
Brain stem
- Target or source for all cranial nerves that deal with sensory and motor function in the head and neck
- Nuclei within brainstem are the targets and sources of these nerves
- Also is a throughway which all info going up and down must pass
- Because of its small area and restricted blood supply– it is very susceptible to damage
Note:
Now let’s talk about the brain stem, which is located more rostrally to the spinal cords locations we just discussed.
The brain stem is a target or source…
And all information from higher order or more rostral brain structures that goes to or from the spinal cord must pass through the brain stem.
Subdivisions of the brain stem
- Medulla– regulates blood pressure and respiration.
- Ventral pons– pontine nuclei, relay signals from cortex to the cerebellum
- Dorsal pons– respiration taste and sleep
- Midbrain– auditory and visual systems, substantia nigra pars compacta (dopaminergic neurons)
Note:
Brain stem cranial nerves

Note:
From the brain stem there emerges 12 left-right pairs of cranial nerves that carry afferent or efferent information mostly concerned with sensory and motor functions of the head. The exception is the the vagus nerve arising from the medulla which carries critical autonomic signals for your visceral organs and heart without which you cannot live.
--
Cranial nerves
| number | name | function |
|---|---|---|
| I | Olfactory Nerve | Smell |
| II | Optic Nerve | Vision |
| III | Oculomotor Nerve | Eye movement; pupil constriction |
| IV | Trochlear Nerve | Eye movement |
| V | Trigeminal Nerve | Somatosensory information (touch, pain) from the face and head; muscles for chewing |
| VI | Abducens Nerve | Eye movement |
| VII | Facial Nerve | Taste (anterior 2/3 of tongue); somatosensory information from ear; controls muscles used in facial expression |
| VIII | Vestibulocochlear Nerve | Hearing; balance |
| IX | Glossopharyngeal Nerve | Taste (posterior 1/3 of tongue); Somatosensory information from tongue, tonsil, pharynx; controls some muscles used in swallowing |
| X | Vagus Nerve | Sensory, motor and autonomic functions of viscera (glands, digestion, heart rate) |
| XI | Spinal Accessory | Nerve Controls muscles used in head movement |
| XII | Hypoglossal Nerve | Controls muscles of tongue |
Note:
This lists these 12 cranial nerves and their relevant sensory and/or motor function they carry. Notice that many of the nerves carry mixtures of sensory and motor information, which you could see with the color coding on the previous slide.
Also notice that 4 of the 12 nerves concern sensory and motor information from the eyes. In fact the cranial nerve containing the most fibers is the optic nerve which contains 1.2 million axons that carries all the information necessary to perceive the visual world around you (compare with 130 million photoreceptors and 0.7 to 1.5 million RGCs)
Midbrain

Note:
The tectum of the midbrain, which is latin for ‘roof’ contains the superior and inferior colliculi and is important for processing visual and auditory information as well as shaping motor commands for orienting the head and body.
- red nucleus is part of midbrain, without a corticospinal tract it controls gait. Baby crawling controlled by red nucleus. Arm swinging while walking
Ventral to the cerebral aqueduct through which cerebral spinal fluid circulates, you will find the tegmentum of the midbrain which contains the —>
--
Parkinson’s- loss of dopamine making neurons in the midbrain's substantia nigra
Note:
substantia nigra pars compacta, a nucleus containing neurons making the neurotransmitter dopamine that are important for regulating motor movements via their connections with the basal ganglia and which are devastated in parkinson’s disease.
dark appearance due to high levels of dark pigment neuromelanin in dopaminergic neurons
Neuromelanin is directly biosynthesized from L-DOPA, precursor to dopamine, by tyrosine hydroxylase (TH)
Now you’ve all heard the phrase ‘running around like a chicken with its head cut off’ —>
The brainstem is all you need to live
Note:
Well here is a grotesque way of convincing you that all you need to live is your brainstem…
- survived an axe beheading by Colorado farmer in 1945,
- lived for 18 months with only a brain stem
- Fed corn dropped directly into his gullet
- Mike choked to death during a sideshow tour in 1947, when the farmer was unable to clear Mike's esophagus
dailymail 2018, headless chicken in thailand
Cerebellum
- Two hemispheres, several lobes divided by fissures
- Neurons in sheets, called cortex
- Receives sensory input from spinal cord, motor info from cerebral cortex, balance info from inner ear and vestibular organs
- Primarily used for motor control, particularly in making postural adjustments and in fine-tuning movements
- Essential for the coordination, planning of movements, learning motor tasks and storing this information

Note:
Cerebellum is latin for 'little brain.'
The cerebellum is located dorsal to the brainstem.
It has two…
Neurons form cortical sheets like in the cerebral hemispheres.
Receives…
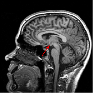
fyi: The MRI image is J. Ackman's brain from 2009!
Cerebellum
Note:
Cerebellum is latin for ‘little brain’, and it does have a striking organization with lobes and fissures similar to the folding of the cerebral cortex to increase surface area and packing density of neuronal interconnections. You can see here its main cell body layer, obvious in this purple nissl stain for cell bodies here. It’s in this layer where you will find the beautiful purkinje neurons that we saw images of in lecture 01.
Forebrain

Note:
Now we're gonna use our forebrains to learn about the forebrain.
- Cerebrum
- the principal and most anterior part of the brain in vertebrates, located in the front area of the skull and consisting of two hemispheres, left and right, separated by a fissure
- cerebral hemispheres– cerebral cortex, hippocampus, basal ganglia, olfactory bulb
- develops from embryonic structure the telencephalon
Diencephalon
- Contains the thalamus and hypothalamus
- Thalamus– 'relay station to the cerebral cortex'– an essential link in the transfer of most sensory information from periphery to cerebral cortex. Also plays a role in filtering information from the periphery
- Hypothalamus– lies ventral to thalamus. Controls a variety of functions, growth, eating, drinking, maternal behavior by regulating hormonal secretions of the pituitary gland Connects to virtually every part of brain. Important in initiating and maintaining behaviors that the organism finds rewarding
Note:
The diencephalon contains the…
The thalamus can be generally thought of as the relay station to the cortex.
The hypothalamus lies ventral to the thalamus and controls an array of important physiological functions such as feeding, fluid balance, and hormonal secretions of the endocrine system.
Thalamus
- Pair of ovoid structures
- Incoming sensory information relays in the thalamus before entering the cerebral cortex. Many sensory, motor, and cognitive functions
- Highly organized connections with cortex
- Connections are mostly reciprocal
Note:
Thalamus is essentially the relay nuclei that routes sensory information into the cortex. This routing of information is highly organized with different subdivisions sending information in parallel pathways to different visual, auditory, and somatosensory regions of the cerebral cortex. But the connections are highly reciprocal with cortical areas, such that the thalamus is integral to many sensory, motor, and cognitive functions as well as the generation of different electrical rhythms that underly different sleep states.
Which connections gets through to neocortex without a thalamic relay? neuromodulatory input: cholinergic, serotonergic, histamatergic, adrengergic, dopaminergic signaling. Pathways manipulated by drugs that manipulate behavioral state and mood. More on this later in the course.
Thalamus– gateway to the cerebral cortex
Note:
The thalamus is located in the middle of the brain…
--
Thalamus subdivisions
Note:
…and is the gateway for routing information into the cerebral cortex. It contains a number of different nuclei and subdivision that take information from other brain regions including the brain stem and sends to appropriate primary sensory or higher order regions of the cerebral cortex.
Hypothalamus
Note:
- mediates endocrine, autonomic and behavioral functions
Controls a variety of functions, growth, eating, drinking, maternal behavior by regulating hormonal secretions of the pituitary gland. Connects to virtually every part of brain. Important in initiating and maintaining behaviors that the organism finds rewarding
Cerebral hemispheres
- Largest portion of the human brain
- Cerebral cortex– cognitive functioning
- Hippocampus– memory
- Basal ganglia– control of fine movement
- Amygdala– social behavior and expression of emotion
Note:
Now let’s finally talk about highest order parts of the central nervous system the cerebral hemispheres.
The two cerebral hemispheres sit atop and surround the diencephalon and much of the brain stem.
Seat of cognition, but it doesn't work alone!
Limbic system includes the amygdala, as well as the part of the basal ganglia, part of the thalamus, prefrontal cortex, and the hippocampus. It is the integrative center for emotions, emotional behavior, and motivation
Cerebral Cortex
- Highly convoluted shape-grooves (sulci) and elevated regions (gyri). If sulci are especially deep called fissures.
- About 2 to 4 mm thick, 100K neurons/mm2
- Segregated into left and right hemispheres connected to each other at the corpus callosum
- Anatomically divided into four lobes
- Functionally distinct regions
- Organized into layers
- Greatly expanded in humans
comparative mammalian brain anatomy museum
Note:
2500 sq cm in area or about 2.5 sq ft is the human cerebral cortex surface area1 :
https://academic.oup.com/cercor/article/18/10/2352/384745
The little, but very compactly folded cerebellum has 80% of the surface area of cerebral cortex in humans. Compared with monkeys, there is evidence that the cerebellum went through a disproportionaly increased amount of surface area expansion during evolution than even the neocortex.
Toro, Roberto; Perron, Michel; Pike, Bruce; Richer, Louis; Veillette, Suzanne; Pausova, Zdenka; Paus, Tomáš (2008-10-01). "Brain Size and Folding of the Human Cerebral Cortex". Cerebral Cortex. 18 (10): 2352–2357. doi:10.1093/cercor/bhm261. ISSN 1047-3211. PMID 18267953.
Sereno et al. PNAS 2020:
https://doi.org/10.1073/pnas.2002896117
cortical surface area
| species | approx value |
|---|---|
| human | 2500 cm^2^ |
| mouse | 2.5 cm^2^ |
| rat | 6 cm^2^ |
| afr. elephan | 6300 cm^2^ |
| pilot whale | 5800 cm^2^ |
http://faculty.washington.edu/chudler/facts.html
--
Cerebral folding
Tensional and compressive forces result in cerebral folding.
Note:
- Tensegrity, tensional forces of long cellular processes (axon bundles), Felleman and Van Essen 1991 monkey neocortical/visual wiring map 2
Takes between 22 – 26 weeks of gestation (154 – 182d. or 5.1 – 6 mo.) before fissures and gyri start forming in the human brain (Tallinen Nature Physicis 2016). Between 33–37 weeks the convolutions take on the complexity seen in the newborn human brain (7.7–8.6 mo.).
Cortico-cortical connection pathways
- within hemisphere
- short vs. long (fasciculi)
- between hemisphere
- mostly homologous connections
- commissures
- corpus callosum
Note:
- corpus callosum
- connections between the cerebral hemispheres
- only in placental mammals (the eutherians)
- absent in monotremes and marsupials and other vertebrates (e.g. birds, reptiles, amphibians and fish)
Other routes for connections between the cerebral hemispheres
- anterior commissure
- connects temporal lobes
- connects both amygdala
- crossed projects from olfactory tracts
hippocampal commissure
Laminar organization of neocortex
- Gray matter of human neocortex has a thickness of only about 2-4 mm
- Similar thickness in other mammals-- cortical gray matter in rodents is 1-2mm!
- 6 layers (neocortex)
- Layer IV is the primary input layer
- Layers II and III are cortico-cortical output layers
- Layers V and VI descending output layers to connect with subcortical regions (basal ganglia, thalamus, brain stem, spinal cord)
Note:
Cortical neurons are organized into layers
- The cerebral cortex is a layered structure
- Layers can be seen when the brain is stained with dyes that highlight cell bodies or fibers
Note:
- Meynert 1884, frontal lobe and cortex of calcarine fissure. First to describe cortical layering (bats, but also human and other animals). Sections fixed in potassium dichromate, stained with carmine, and cleared in oil of cloves.
--
Defects in cortical development
- lissencephaly: smooth brain
- do not have characteristic gyri patterns
- leads to death, severe epilepsies and mental retardation
- cause is defects in neural migration during development
Note:
Gyrification from constrained cortical expansion
[^Tallinen:2014] http://dx.doi.org/10.1038/nphys3632
[^Watts:1998]
Which of the following is true?
- Do specific regions of the brain control specific functions?
- Does each part of the brain do all functions?
- Does a specific function come from many parts of the brain?
Note:
Now lets expand on how functions are organized in the brain. Which of the following is true
it’s a bit of a trick question because both of these answers are partially right depending on how you define a part of the brain or what kind of function you’re talking about, but it is not the case that
Lobes of the cerebral cortex
- frontal– planning responses to stimuli, contains: motor cortex (precentral gyrus)
- parietal– somatic sensory cortex (postcentral gyrus)
- temporal– audition and insular cortex (taste)
- occipital– vision
Note:
Korbinian Brodmann (1909)
- Used subtle anatomical differences in the brain to divide it into discrete areas or regions
- Based on distinctive nerve structures and characteristic arrangements of layers
- 52 discrete areas– many still used today
Note:
So first lets discuss how we came to define different parts of the brain, specifically cerebral cortical areas
--
Cortical regions have slightly different laminar organization
Note:
todo: replace figure
He used cell body staining like the Nissl stain to examine differences in general patterning/layering across the cerebral cortex.
Brodmann areas
Note:
Note areas 4 (primary motor cortex), 1,2,3 (primary somatosensory cortex), area 17 (primary visual cortex), area 18 (secondary visual cortex), area 41,42 (primary auditory cortex, also part of 22)
Comparative localization teachings of the cerebral cortex in their principles, illustrated on the basis of Zellenbaues. Leipzig, Johann Ambrosius Barth Verlag, 1909 . 2nd edition, 1925. English translation by Laurence J. Garey: Localisation in the Cerebral Cortex by Korbinian Brodmann. Smith-Gordon, 1994; new impression: Imperial College Press., 1999
area 44,45 Broca's areas
area 39,40,22 wernicke's areas
area 43 gustatory cortex
area 22 superior temporal gyrus
Primary versus non-primary cortex
- Primary cortex
- Cortical areas that are the primary projection fields targeted by the sensory input pathways
- Cortical areas that are the principal fields which have neurons that project down into the spinal cord for effecting control
- Primary visual (calcarine sulcus)
- Primary auditory
- Primary somatosensory (post-central gyrus)
- Primary motor (pre-central gyrus)
- Non-primary cortex
- everything in between
- referred to collectively as association cortex
Note:
--
Mapping brain activity with human neuroimaging

Note:
- functional magnetic resonance imaging
- different patterns of brain activity localization depending on what the task is
- Actually sitting inside a small space magnet
Brain organization summary
Note:
-
Toro, Roberto; Perron, Michel; Pike, Bruce; Richer, Louis; Veillette, Suzanne; Pausova, Zdenka; Paus, Tomáš (2008-10-01). "Brain Size and Folding of the Human Cerebral Cortex". Cerebral Cortex. 18 (10): 2352–2357. doi:10.1093/cercor/bhm261. ISSN 1047-3211. PMID 18267953. ↩︎
-
Distributed hierarchical processing in the primate cerebral cortex. pmid:1822724 ↩︎




































