Files
biol125-lectures/neuroanatomy1.md
2021-10-03 21:33:31 -07:00

49 KiB
Raw Permalink Blame History

What is neuroscience?

Neuroscience is a field of scientific study that seeks to understand how the nervous system carries out its functions and what goes wrong when it doesnt.

https://canvas.ucsc.edu/courses/46898

Note:

video of microetching 'self-reflection' project and info on how it was made by G. Dunn and B. Edwards

Welcome. This class will be an Introduction to Neuroscience

Neuroscience is a field that by necessity integrates information and techniques from many other scientific disciplines— not just biological sciences like genetics, molecular biology, biochemistry, immunology, physiology. But also physics, engineering, computer science, psychology. And these days neuroscience is touching upon fields as varied as sociology, criminology, marketing, ethics, and the law. So what is Neuroscience? Neuroscience is fundamentally a field that...

And ultimately it is a field of science that seeks to understand how this lump of biological tissue siting inside our heads has evolved the capability of asking questions about its own nature and existence.

"carries out its functions"

--

Syllabus and text book

5e 2011
6e 2017

--

Site keyboard bindings

  • Navigate: arrow keys and spacebar
  • Overview toggle: o or esc
  • Fullscreen: f
  • Show notes: s
  • Search toggle: ctrl-shift-f
  • Menu toggle: m
  • List keyboard shortcuts: ?

What are the nervous systems functions?

  • The nervous system organizes an individuals interactions with the environment
  • Its functions are dynamic and wide-ranging extending to include all actions, thoughts, perceptions of the self.

Navigation.

Note:

What does the nervous system do? It organizes and controls an individuals interactions with the environment. It does this by processing current or past experiential information and making and executing behavioral decisions.

Therefore the brains functions are dynamic and vast, extending to include all thoughts, perceptions, and actions and the core of what it means for each of one us to be us consciousness and the mind. It is this complex lump of biological tissue, this emergent computational system that allows us humans to not only imagine the future, but to create it as well.

--

Neuroscience and the future of humankind?

J. Verne, 1865
E.R. Burroughs, 1912
P.K. Dick, 1968
J. Haldeman, 1974
Futurama, 2008. 'Where no fan has gone before'

Note:

Ever since the dawn of the industrial age in the mid 19th century and Jules Verne's 1865 novel 'From the Earth to the Moon' humans have been dreaming of the future, not just here but among the stars. And those futures can become reality like when the Apollo astronauts landed on the moon and acknowledged the inspiration that Verne's orig sci-fi novel had on many.

  • Neuroscience and its role for proper physiological function is going to play a role in many advances in health and technology for humankind now and far into the future--

  • To reach the stars we will need:

  • robots, artificial intelligence, I. Asimov Philip K. Dick's 1968 novel 'Do Androids Dream of Electric Sheep'
  • virtual reality, brain machine interfaces, James Cameron's Avatar
  • medical tricorders, 1960s series Star Trek
  • physiological stasis, cryopreservation, waking up the brain space after travel like Joe Haldeman's 1974 novel 'The Forever War' or the Ridley Scott's movie Aliens

The human brain and its limitless creativity has packed a bunch of computational power into this little device in our pocket. And yet this device is really just made up of lots of simple little semiconductive elements. So what is the atomic unit of our brains function and how is it structured to achieve our cognitive abilities and our consciousness? We will find the answers to some of these question in this course, but will also discover as is usually the case when looking into nature's secrets that we humbly know so little.

Or perhaps a discomforting future where maybe consciousness will be woven into some sort of singular virtual world like in the matrix or the cylons from Battlestar Galactica in ten or ten thousand years? Oh shoot wait, the metaverse is already here in 2021.

Think of virtual reality, can we solve the mismatches between sensory information and body positioning to get rid of the nausea associated with VR technology? Think of artifical intelligence and robotics

Traveling through space (well technically we are already traveling through space together on spaceship earth;) we will need to keep our bodies in working order to get wherever we are going-- will we know enough about brain function and neurolgical disease to fix things on the fly with a medical tricorder device like in Star Trek?

Can we read or even predict the minds of a suspect in a courtroom with a brain imaging device? Should we even want to do that?

We've dreamed up fantastical futures in shows like Star Trek and the Jetsons and dystopian ones in Blade Runner and the Terminator or even ones from the past (e.g "A long time ago in a galaxy far far away...")

Some of the things dreamed of are or will soon be present. Flying aeroplanes, personal landspeeders, rocket ships to distant planets, autonomous-automobiles.

  • Edgar Rice Burroughs A Priestess of Mars: John Carter hurling thought waves.
  • Do Androids Dream of Electric Sheep: Penfield mood organ (W. Penfield was an prominent canadian neuroscientist)
  • So is the nervous system then a device for
    • detecting physiological change?
    • seeking pleasurable rewards? a dopamine machine?
    • processing emotional secretions?
    • navigating space-time?

Questions to keep in mind as we study neuroscience now and beyond

  • What signals are produced by a nervous system? How?
  • How are inputs from the external or internal environment transduced by the nervous system?
  • How do sensor inputs combine with a self's existing world model to allow decisions and an output to be actuated?
  • Structure? Function?

Note:

Nervous
relating to or affecting the nerves
nervosus
latin
sinewy, vigorous
nervus
latin
sinew
sinew
fibrous tissue linking bone or muscle to bone
the parts of a structure, system, or thing that give it strength or bind it together

What are brains made of?

A glob of squishy jello?

Wikimedia Commons

Interacting sets of protoplasmic colloidal containers. Cells.

Note:

So what are brains made of? Anybody? Jello? What is this 1.5 kg or 3 lb human brain made of?

Yes it is soft and squishy but it is not just a gelanitous mass like jello. Thought jello is lots of collagen, and we are lots of collagen, including whaterver a brain is. Shown here is a section through a human brain. It is about 20 cm long and if we were to zoom in on a tiny part of it and use a special dye and microscope what we see is that the brain is made of cells. So this is a pyramidal neuron in from the cerebral cortex and its cell body is about 30-40µm in diameter.

(though jello is made of collagen...)

colloid (wn, noun)
(a mixture with properties between those of a solution and fine suspension)
protoplasm (wn, noun)
(the substance of a living cell (including cytoplasm and nucleus))

--

Elemental entities

O. Benfey's 1964 table, commons.wikimedia.org CC BY-SA 3.0

Note:

Based on Otto Theodor Benfey's spiral periodic table from 1964: https://en.wikipedia.org/wiki/Periodic_table#/media/File:Elementspiral_(polyatomic).svg

--

Sizes of some different entities

object diameter (millimeters)
dot, sand grain, paramecium 1.0
animal cell, muscle, bone, brain cells 0.01
bacteria, mitochondria, chloroplast 0.001
virus (influenza) 0.0001
protein 0.000001
water molecule 0.000000275

Note:

Radius for sphere model protein:

  • Rmin 1 <--> 5 nm
  • Size 5 <--> 500kDa
  • 1 angstrom = 0.1 nm
  • 2.75 angstroms = 0.275 nm == H2O diameter

Brains consist of interconnected cells

  • Camillo Golgi (Italy) believed that cells in the brain were directly connected forming a continuous network (reticular theory).
  • Santiago Ramon y Cajal (Spain) Brains made up of single cells and communicate at specialized areas called synapses.
  • Shared Nobel prize in 1906

Note:

Seems fairly obvious now. But wasn't in the 19th c. Cells widely accepted everywhere else in the 1830s. But neuroscientists were the last to accept this right up until the turn of the 20th c.

Only after fundamental and rigorous work by these two scientists, C. Golgi and S. Ramon y Cajal in the late 19th c. did we come to appreciate comprised of individual cellular elements rather than a continous network or syncytium.


Golgi staining

Golgi staining: potassium chromate and silver nitrate (1873)

Golgi's drawing of the hippocampus impregnated by his stain
from Golgi's Opera Omnia.
Golgi's drawing of hippocampal dentate gyrus
fig. 9 from Golgi's Nobel lecture

Note:

Golgi's drawing of hippocampus after performing his black potassum chromate and silver nitrate stain. Bottom is a zoomed in drawing of neurons and their connections in the hippocampal dentate gyrus.


The nervous system is not a syncytium

  • syncytium: a mass of cytoplasm with many nuclei but no internal cell boundries
  • reticulum: a fine network or netlike structure
  • Camillo Golgi, Nobel Lecture December 11, 1906, The Neuron Doctrine- theory and facts:

"...Far from being able to accept the idea of the individuality and independence of each nerve element, I have never had reason, up to now, to give up the concept which I have always stressed, that nerve cells, instead of working individually, act together, so that we must think that several groups of elements exercise a cumulative effect on the peripheral organs through whole bundles of fibers."

Note:

Golgi drew the structure of the hippocampus as being all fused together into a reticulum, no free axon endings

Syncytiums are important in living organisms. From the placenta at the beginning of your existence to your multinucleated myocytes and osteocytes that make up your muscle and bones as you chase the Pacific Sun, syncytiums always play an important role.


The Neuron Doctrine

  • Santiago Ramon y Cajal
  • Neurons are cells. Each is an individual entity from an anatomic and embryologic view
    • Function, however, involves the connection across spacetime between multiple entities
  • Neurons have a polarity
Cajal drawing of golgi stained retina. Cells are separate units and arrows indicate direction of information flow.

Note:

Neurons in culture have specific endings. EM methods, dye filling experiments.

Heinrich Wilhelm Gottfried von Waldeyer-Hartz (6 October 1836 23 January 1921) was a German anatomist and conceived the word 'neuron'.

Golgi in his nobel lecture:

(3) The neuron is a physiological unit. This fundamental idea which Waldeyer expressed with perfect precision has been enlarged upon both from anatomical and functional sides with additional propositions, for example : The communication between neurons is only established by casual contact. There is scarcely any nervous tissue apart from the neurons; the neurons are also trophic units.

individual entitites. boxes within boxes. containers.


The Nobel Prize in Physiology or Medicine 1906

"in recognition of their work on the structure of the nervous system"

Camillo Golgi Pavia University Pavia, Italy

Santiago Ramón y Cajal Madrid University Madrid, Spain

Note:


How many neurons in a human brain?

  • 100 thousand
  • 10 million
  • 100 million
  • 1 billion
  • 10 billion
  • 100 billion
  • 1 trillion

Note:

  • in cerebral cortex humans generally have most neurons, where we have about 20 billion. Even compared to an elephant that has 3 times the number of overall neurons. Though some species of cetaceans (whales and dolphins) approach the number of our cortical neurons and recent research has shown that the long-finned pilot whale likely has more neurons in its cerebral cortex than we do.

100 billion sands grains could fit in a dump truck (~ 5 meters long).

d=1 #unit diam of sand grain as perfect sphere
#sphere fits in perfect cube with side length equal to d. Let d=1mm, then:
100e9 ** (1/3)

#so 4641 mm side cube or 4.6 m cube filled with uniformm 1 mm particles
4641**3

A billion hours ago our ancestors were living in the stone age A billion days ago no one walked on earth


Nervous system function is the product of genes and environment(s)

  • Many genes are expressed in the brain, either during development or in the adult. It is the spatial and temporal regulation of these genes together with an organism's interaction with the environment that builds a nervous system.
  • "nature OR AND nurture"

Note:

  • Neuroscience encompasses many fields: genetics, molecular and cell biology, developmental biology, physiology, physics, electrical engineering, computer science.
  • not nature or nurture, nature and nurture
  • language, learning to ride a bike
  • clones, identical twins

Model the world in terms of entangled energy, entangled variances of polarized spatiotemporal change.


Genome size does not predict nervous system complexity

organism # of genes # of base pairs # of neurons development time (young adult)
Caenorhabditis elegans (nematode) ~19,000 ~97 million 302 8 hrs
Drosophila melanogaster (fruit fly) ~15,000 ~120 million ~250,000 711 days
Danio rerio (zebrafish) ~24,000 ~1.5 billion ~10,000,000 30 days
Xenopus tropicalis (frog) ~21,000 ~1.7 billion ~16,000,000 4 months
Mouse ~25,000 ~3.5 billion ~71,000,000 2-3 months
Human ~20,000 ~3.5 billion ~100,000,000,000 18 years
African elephant ~20,000 ~3.1 billion ~267,000,000,000 18 years
see also Neuroscience 5e Box 01A

Note:

Number of genes is not related to nervous system complexity or size. The nematode c. elegans has just 302 neurons, and yet its genome contains virtually as many genes as a humans. An african elephant brain weighs 3 times more than a human brain and has 3 times the number of neurons.

Even number of base pairs: Paris japonica (white, star like flower) has 150 billion base pairs of DNA (50x larger than that of a human haploid genome)

The largest brains are those of sperm whales, weighing about 8 kg (18 lb). An elephant's brain weighs just over 5 kg (11 lb), a bottlenose dolphin's 1.5 to 1.7 kg (3.3 to 3.7 lb), whereas a human brain is around 1.3 to 1.5 kg (2.9 to 3.3 lb). Brain size tends to vary according to body size.

animal n neurons n synapse
roundworm 302 7500
jellyfish 5600
sea slug 18,000
amphioxus 20,000
larval zebrafish 100000
fruitfly 250,000 <10,000,000
ant 250,000
honey bee 960,000
cockroach 1,000,000
guppy 4,300,000
frog 16,000,000
zebra finch 131,000,000
brown rat 200,000,000 4.48x10^11
red junglefowl 221,00,000
ferret 404,000,000
gray squirrel 453,660,000
octopus 500,000,000

sources for n neurons

E. Coli K-12: 4,639,221 bp, 4377 genes
Naegleria gruberi (unicellular free living eukaryote organism) 41 x 10^6 bp 15,727 genes

xenopus laevis | 3.1 billion bp | 16,948; 23,676 genes | ? neurons | 1 year | 1.3 mm egg
xenopus tropicalis | 1.7 billion bp | 21,634 genes | 16,000,000 neurons | 4 months | 0.8 mm egg

https://www.xenbase.org/anatomy/intro.do xenopus genome project http://viewer.shigen.info/xenopus/

X. tropicalis develops faster with a higher optimal temperature (25-30°C vs 16-22°C), and has a diploid, smaller genome (instead of tetraploid) compared with X. laevis. Still has big eggs (0.8mm vs 1.2mm), large brood size (500-2000+) and large (but smaller) adults (4-5cm vs 10cm) as X. laevis
gastrulation at 7-8hrs, tailbud at 20hrs and tadpole at 36hrs. Reproductive adults at 12mo.
https://www.xenbase.org/anatomy/static/intro/xenopus_life_cycle_small.png
xenopus hatchlings
can detect light intensity (pineal gland, then with eyes a few days later) Foster and Roberts 1982)
discriminate touch (skin is excitable with cardiac-like all or none APs for a primitive noxious stimuli response like Cnidarians (Mackie 1970). Body surface innervated by touch neurons to trigeminal gangli and spinal cord (Roberts 1980)
lateral line neuromasts caudal to eyes for water current responses by swimming into them (Roberts 2009)
have few thousand functioning central neurons (populations of 20-150) on each side [Roberts:2010]

[Roberts:2010]: Roberts A, Li WC, Soffe SR. How neurons generate behavior in a hatchling amphibian tadpole: an outline. Front Behav Neurosci. 2010 Jun 24;4:16. doi:10.3389/fnbeh.2010.00016. PMID: 20631854; PMCID: PMC2903309.

Dictyostelium discoideum
34 Mb haploid genome, six chromosomes, 12500 genes
soil dwelling amoeba, slime mold
eukaryote transitioning between unicelular to multicellular slugs to fruiting body
found in soil, moist leaf litter. diet is bacteria like E. Coli
bacteria secretion of folic acid attracts the myxamoebae, which divide by mitosis during the vegetative stage why consuming bacteria
mostly asexual lifecycle-- vegetative, aggregation, migration, culmination
starvation during aggregation causes the myxamoebae to make glycoproteins that help cell-cell adhehsion and adenylyl cyclase which makes cAMP. cAMP works as a chemotactic signal, attracting neighboring amoebae then form a motile pseudoplasmodium, a slug up to 2-4mm long and 100000 cells
https://upload.wikimedia.org/wikipedia/commons/thumb/3/3e/Cell-Shape-Dynamics-From-Waves-to-Migration-pcbi.1002392.s007.ogv/180px--Cell-Shape-Dynamics-From-Waves-to-Migration-pcbi.1002392.s007.ogv.jpg
5μm spores and amoebas to aggregated multicellular slugs of 1mm length
sexual reproduction also possible. three mating types with three strains having different gene combinations that specify the three different sexes, can only mate with the two different sexes https://doi.org/10.1126%2Fscience.1197423 uhttps://pubmed.ncbi.nlm.nih.gov/21148389
https://en.wikipedia.org/wiki/Dictyostelium_discoideum
during chemotaxis, cAMP and amoeba movements occur every six minutes with amoebae moving toward concentration gradient for 60s before stopping. Oscillations in groups of cells results with propogating spiral waves of varying cAMP concentrations http://www.whydomath.org/Reading_Room_Material/ian_stewart/2000_11.html
may exhibit food husbandry or 'farming' behavior! https://doi.org/10.1038%2Fnature09668

What about cerebral cortical neuron number?

  • generally humans thought to have highest neocortical neuron number (and therefore greatest amount of cortical links, inter-connects)
  • but cetaceans approach and even rival humans in these measures... dolphins, killer whales, blue whale
  • indeed a study in the past decade revealed the long-finned pilot whale as having more neocortical neurons than human.
    • Globicephala melas; latin "globe" and greek kephale "head"
    • up to 6.7 m long, 2300kg. second larges delphinid next to the Orcinus orca
    • very social, small long term social units of 8-12 individual, aggregates of 100s to 1000s of individuals observed. usually small familial pods.
    • gestation 12 - 16 months, calives are up to 2.0 m at birth and 75kg
    • sex maturity for females and males at eight and 12 years respectively
    • https://en.wikipedia.org/wiki/Long-finned_pilot_whale

https://en.wikipedia.org/wiki/List_of_animals_by_number_of_neurons#cite_note-80 African elephant 5,600,000,000 Pallium (cortex) Loxodonta africana1
Chimpanzee 7,400,000,000 Pallium (cortex) Pan troglodytes2
Bottlenose dolphin 12,700,000,000 Pallium (cortex) Tursiops truncatus3
Human 21,000,000,000 Pallium (cortex) Homo sapiens4
Blue whale 15,000,000,000 Pallium (cortex) Balaenoptera musculus3
Long-finned pilot whale 37,200,000,000 Pallium (cortex) Globicephala melas5
Killer whale 43,100,000,000 Pallium (cortex) Orcinus orca3


There are many brain-specific and non-brain specific genes expressed in the nervous system

tissue Number of expressed genes
brain only ~6000
brain & all other tissues ~8000
other tissues only ~6000
total: 20000
see also Neuroscience 5e Fig. 1.1

Note:

Out of those 20000 genes, there are many expressed genes that are common between the nervous system and other tissues, however there is also a substantial fraction that are expressed specifically in the nervous system


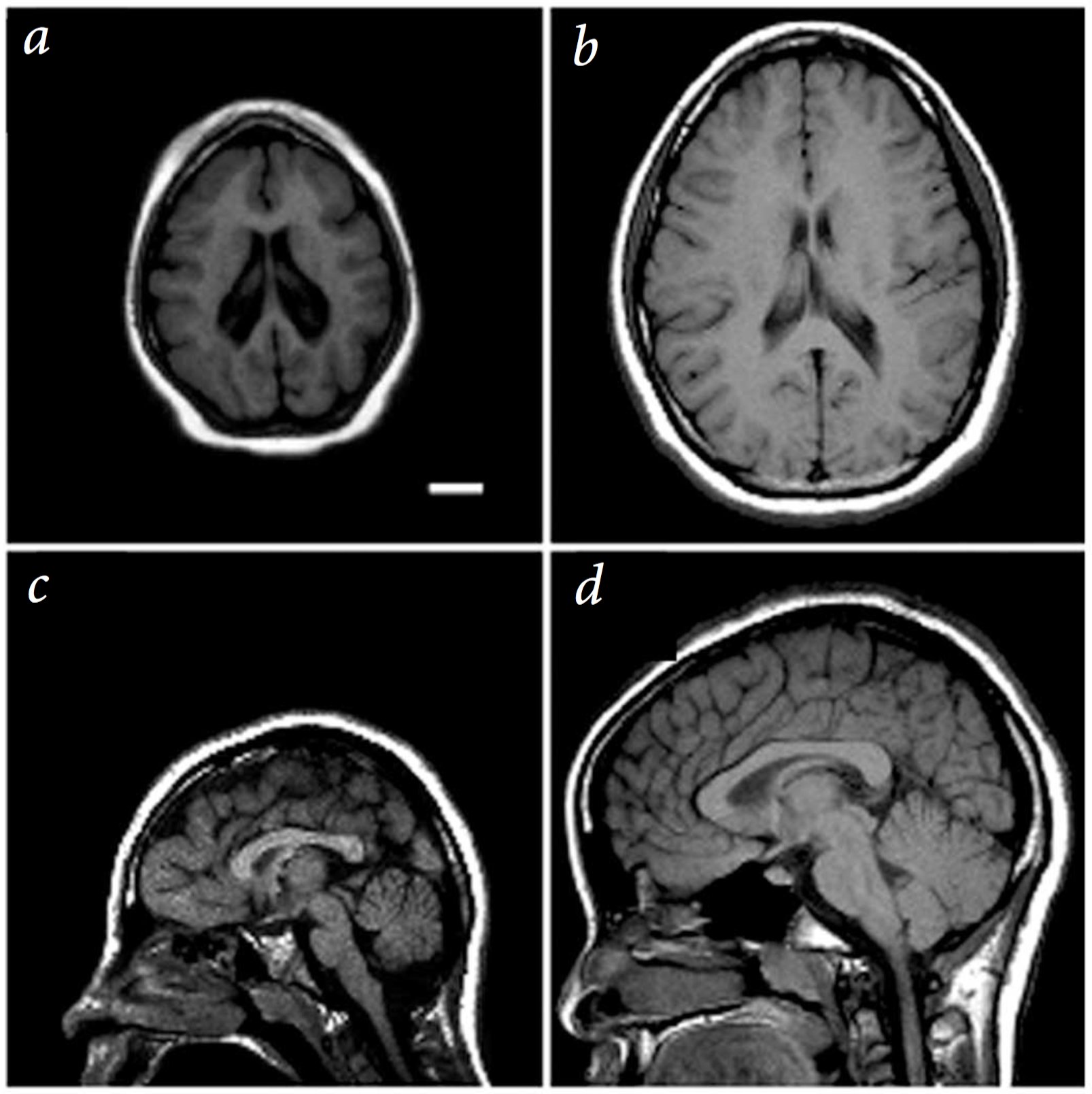
A single mutation can lead to dramatic brain size defects

Mutation in a spindle pole gene call ASPM1 (altered mitosis during brain development)

Bond:2002, see also Neuroscience 5e Fig. 1.1

Note:

Now mutations in single genes in the right place in our genome can cause drastic effects on the formation of our brains wiring.

For example, shown here is a person with a mutation in ASPM1 a protein used to make spindle poles for mitotic stem cells during embryonic development.

But most single gene mutations do not cause such drastic effects, with a more subtle and complex set of genetic and environmental risk factors causing neurological disease, similar to and probably exceeding the complex etiology of cancer.

2cm scale bar. left 13yr old female patient. right 11 yr old control.


Glial cells

Glia
greek for 'glue'
outnumber neurons 10-50 fold (higher mammals)
structural support for neurons
remove debris and maintain a functional nervous system environment

Note:

Now there are two basic cell types in the nervous system, neurons and glia. We will revisit neurons more in a few minutes and will be talking all about their function over the ensuing lectures but first lets touch briefly on some of the types of glial cells and their known functions.

Up to 90% of brain cells in mammals.

During evolution the glia/neuron ratio basically follows a power relation ship 6 y(x) = kx^n where on a log-log plot k is the intercept and n is the slope. Some of this original comparative estimates of glia/neuron ratios among animals was performed by Friede (1954)

Perhaps only 10% of cells in invertebrates like drosophila.

Other model organisms also have nervous system support cells like glia-- C. elegans has just 56 total 'glial cells'. They fall into three major populations (24 sheath cells, 26 socket cells, and 6 GLR). The 6 GLR cells are mesodermally derived.

Herculano-Houzel, 2014 Fig. 1. cetacean open circles. primate closed circles. insectivore crosses. carnivore open square. afrotherian closed triangle.
afrotheria
african species
shrews, west indian manatees, elephants, moles

Types of glia

  • Astrocytes Support cells of the CNS, most numerous type of glia
  • Microglia- CNS macrophages. Act as phagocytes, mobilized after infection, injury, or disease
  • Oligodendrocytes Myelin producing cells of the CNS
  • Schwann cells Myelin producing cells of the PNS
  • Satellite cells Support cells of the PNS

JA, CC0

JA, CC0
JA, CC0

Note:

Satellite glial cells are glial cells that cover the surface of nerve cell bodies in sensory, sympathetic and parasympathetic ganglia.

--

Astrocytes

  • Restricted to CNS
  • Maintain a proper chemical environment
  • Deliver metabolic support to neurons from blood vessels
  • Help maintain the blood-brain barrier
  • Neurochemical recycling at synapses
astrocyte
Neuroscience 5e Fig. 1.5
young astrocyte and neurons
Ackman et al., 2006
mature astrocyte
J. Ackman 2005

Note:

Astrocytes are star shaped, hence their name.

Astrocytes are your pizza delivery persons for neurons. They are also like your mom, constantly upkeeping your room or synapses as is the case for neurons.

They are the direct decendents of the mother stem cells that give rise to the neurons and glia of the nervous system.

Devasting diseases of astrocyte function include brain cancer with gliomas like glioblastomas typicaly being comprised of astrocytes gone wild. It is also thought that some childhoold epilepsies may originate from altered astrocyte function.

blood brain barrier-- control entry of neurotransmitters and hormones into the brain

areas of the brain without a blood-brain barrier (from Table 32-2 Basic Neurochemistry 6e):

Pituitary gland Median eminence Area postrema Preoptic recess Paraphysis Pineal gland Endothelium of the choroid plexus

There is a positive relationship between lipid solubility and brain uptake of chemical compounds:

  • permeability of lipid soluble compounds is rapid (ethanol, nicotine, diazepam, THC)
  • polar molecules (e.g. glycine and catecholamines) enter slowly across BBB
  • gases and volatile anesthetics diffuse rapidly into the brain

blood—brain barrier permeability of CO2 greatly exceeds that of H+ thus pH of brain interstitial fluid reflect pCO2 rather than blood pH. Therefore a patient with metabolic acidosis may be brain alkalotic at the same time.

glucose is primary energy substrate of the brain. Nearly all oxygen consumption for the brain. GLUT-1 glucose transporters highly enriched in brain capillary endothelial cells. Since glucose is a polar substrate, this transporter facilitates its transport across the BBB.

Neutral L-amino acids enter the brain as rapidly as glucose (Phenylalanine, leucine, tyrosine, isoleucine, valine, tryptophan, methionine, histidine and l-dihydroxy- phenylalanine (l-DOPA))

water enters rapidly through diffusion.

See also review by 7 for info on energy dynamics between astrocytes-neurons.

--

Oligodendrocytes

  • Insulate axons in CNS by wrapping in myelin sheaths. Myelination is essential for electrical signal propagation
  • Each cell can myelinate multiple axons
oligodendrocyte
Neuroscience 5e Fig. 1.5
young oligodendrocyte
Ackman et al., 2006
mature oligodendrocyte
J. Ackman 2005

Note:

Multiple sclerosis or MS is an example of a devastating CNS disease characterized by degeneration of the myelin sheaths.

--

Schwann cells

  • Myelinate axons in peripheral nervous system (PNS)
  • One axon per cell
Cross section through PNS nerve

neuralcloud.it

Note:

Discovered by German scientist Theodore Schwann. In 1839 he actually stated that all animal tissues are made of cells.

A number of other demylinating diseases other than MS that involve schwann cell dysfunction. CharcotMarieTooth disease (CMT), GuillainBarré syndrome.


Neurons

  • Main signaling unit of the nervous system
  • Polarized have dendrites and axons and a direction for information flow
  • Communicate by electricity usually using action potentials.
  • Tremendous range of different cell types categorized by morphology, molecular identity and physiological activity.

Note:

Now lets think about the cell type most responsible for the brains business of biological computation— the neuron.

It is the...


Which of the following cell structures are found in neurons?

  • DNA
  • RNA
  • Nucleus
  • ER
  • Mitochondria
  • Microtubules
  • Golgi
  • Cell division machinery

Note:

--

Cell body (soma) of a neuron

JA, CC0

Note:

  • soma is another word for cell body
  • the processes extending away from the cell body, the dendrites and axons are filled with cytoskeletal support like microtubles and actin filaments. Provide shape and structure to the neuron and are important during development of processes. Neurodegenerative diseases like alzheimers often affect components of the cytoskeleton (microtubles or actin filaments)

Neurons have a functional polarity

  • Incoming information arrives and is integrated among the dendrites and cell body
  • The integrated information is then relayed along the axon to the next neuron via synapses

Note:

Polarity is everywhere and is everything, in physics... and biology!

  • electric dipole moments of molecules
  • earth's magnetic poles
  • electromagnetic waves
  • DNA (5'-->3')
  • mitotic cells
  • apical-basal orientation of cells within tissues
  • animal embryos and neural tube

from oxford dict,

polar
directly opposite in character or tendency
polarity
the relative orientation of poles; the direction of a magnetic or electric field
the tendency of organisms or parts to develop with distinct anterior or posterior ends, or to grow or orient in a particular direction

Structures of a neuron

  • Cell body (soma) metabolic center of the cell, contains the nucleus.
  • Dendrites receive incoming signals from other nerve cells
  • Axon carries signals to other neurons
  • Axon hillock initiates action potentials
  • Synapse site at which two neurons communicate
  • Synaptic cleft area between pre and post-synaptic cell

Note:


Neuron processes: dendrites

  • Dendrites
  • Extensively branching from the cell body
  • Transmit electrical signals (graded potentials) toward the cell body
  • Function as receptive sites for other neurons

Note:

--

Dendritic spines

Purkinje neuron dendritic tree
Denk et al., 1995
CA1 pyramidal neuron dendrite and spines
Tønnesen et al., 2014. 500 nm scale

Note:

  • 2 billion transistors in an iphone6.
  • 100 billion neurons, each receiving up to 10000 synaptic connections
  • quadrillion synapses, 10^15 in our nervous system

False color of the dendrite of one neuron near an axon from another neuron from an EM image

  • semiconductors 22nm to 14nm (half distance between nodes on the array)
  • synaptic vesicles, avg diameter of 40nm 8
  • diameter of neurofilament 10nm 8
  • thickness of neuronal membrane 5 nm 8
  • synaptic cleft distance 20-40nm 8
  • internodal length 150-1500µm 8
  • dendritic spine membrane area in rat striatum-- 0.5µm^2 == 0.4µm radius == 0.8µm diameter 9
  • neck diameter 0.15µm 9
  • spine density 40 spines/10nm 9

Neuron processes: axons

  • Axons (nerve fibers)
  • Each neuron has only one, but it can branch
  • Neurofilaments, actin microfilaments, and microtubules
  • Provide structural strength along length of axon
  • Axonal transport of biochemical substances
  • Carry neuronal electrical signals (action potentials) away from the cell body

Note:

?chalkboard

  • Branches along length are infrequent. End is called terminal bouton or axonal arbors
  • Aid in the transport of substances to and from the cell body
  • Impulse generator and conductor
  • Axon collaterals
  • Multiple branches at end of axon
  • Terminal branches
  • End in knobs called axon terminals (also called terminal boutons)

Neurons are classified in different ways

  • Morphology: unipolar, bipolar, and multipolar
  • Function: sensory neurons, motor neurons, and interneurons
  • Neurotransmitter expression: excitatory, inhibitory, dopaminergic, etc.

Note:

  • similar classes of cells and morphologies and neuronal shapes found in the human nervous system as in other animals. People have looked hard but there doesn't appear to be any class of cell that is unique to humans or higher mammals-- i.e. no unique neuron subtype that makes us human. We'll talk alot about the neurochemical differences that underly different types of neurons later in the course and their different functional properties.

--

Example morphologies cerebellar neurons

Purkinje cell, cerebellum
Neuroscience 5e Fig. 1.2

Note:

--

Example morphologies cortical neurons

  • Pyramidal neurons multipolar neurons that contain both apical and basal dendrites. Also contain one axon eminating from cell body
  • Most common excitatory neuron in the cerebral cortex
pyramidal neuron

JA, CC0. see also Neuroscience 5e Fig. 1.2

pyramidal neurons
C. Golgi, Fig. 19 Nobel lecture
rat pyramidal neuron
Ackman et al., 2009

Note:

--

Example morphologies retinal neurons

retinal bipolar cell
Neuroscience 5e Fig. 1.2
retinal ganglion cell
Neuroscience 5e Fig. 1.2
retinal amacrine cell
Neuroscience 5e Fig. 1.2

Note:

todo: need Coombs et al., 2006 figures...


Structure of a sensory neuron (afferent)

Function of an afferent neuron is to carry information from the sensory periphery towards the central nervous system.

sensory neuron

JA, CC0

Note:

Afferent- term meaning to send information from periphery to the CNS or to brain


Structure of a motor neuron (efferent)

Function of an efferent neuron is to carry information towards the muscles for bringing about behavior.

motor neuron

JA, CC0

Note:

Efferent sends info to muscles

Affect vs effect


Neurons communicate with electrical pulses

  • Axons project great distances
  • Use action potentials to transmit information
  • Neuronal interactions ('functional connections') occur at synapses
    • separated by small amounts of space the synaptic cleft (~40 nm)
  • Action potential causes release of neurotransmitter that is received by post-synaptic cells

Note:

What is electricity? It's energy. It's variance. From the flow of electric charge across a conducting medium.

--

Inter-neuronal signaling occurs at synapses

JA, CC0

Note:

We will be going into synapse structure and function in much detail later in the class, but just to complete our introduction to basic anatomical details of neurons this figure illustrates...


Neuron signals: action potentials

  • Nerve impulse (action potential or 'spike')
  • Neuron receives and sends signals
  • Generated at the initial segment of the axon
  • Conducted along the axon
  • Releases neurotransmitters at axon terminals
  • Neurotransmitters excite or inhibit neurons

Note:

We will be discussing the nature of basic unit of nervous conduction, the action potential or impulse in great detail in ensuing lectures.


Properties of the action potential

  • rapid
  • transient
  • all or none
  • self-regenerating
  • can go long distances. 5 m in a giraffe
  • highly stereotyped
  • discrimination is based on patterns of firing

Note:

  • 15 m if you're a branchiosaurus

  • rate coding

  • phase coding


Neural Circuits

  • Neurons dont function in isolation, they are organized into circuits that process specific kinds of information
  • Direction of information flow is important for understanding the function of a circuit
  • Afferent neurons carry information toward the brain
  • Efferent carry info from the brain

Note:


Example of a simple circuit: stretch (myotatic) reflex

The "knee-jerk response" is a simple reflex circuit.

JA, CC0. see also Neuroscience 5e Fig. 1.7

Note:

Muscle lengthens, stretching muscle spindle (sensory ending), leading to incr alpha motor neuron activity and causing same muscle group to contract. Works to maintain muscle length.

  • stretch tendon and sensory recpetors in leg extensor muscle
  • sensory neuron synapse with and excites motor neuron in spinal cord
    • sensory neuron also excites spinal interneuron
    • interneuron synapse inhibits motor neuron to flexor muscles
  • motor neuron cducts APs to synapse on extensor muscle fibers causing contraction
    • flexor muscle relaxes because its motor neurons activity has been reduced
  • leg extends

Ways to measure neural activity

  • Extracellular recording an electrode is placed near a neuron. Measures action potentials. Useful for detecting patterns of activity.
  • Intracellular recording an electrode is placed inside a neuron-can measure smaller graded potential changes. Useful for isolating responses to single inputs.

Note:

You might have the anatomy skills of Cajal or Golgi and you know there is this reflex you're studying and you've seen the morphologies of hundreds of cells along this pathway, but what is the cells function during this behavior, how do you monitor that?


Extracellularly recorded responses underlying the stretch reflex

Extracellular electrode recordings showing action potential firing frequencies
CC0, see also Neuroscience 5e Fig. 1.8, 1.9

Note:

These ticks are spikes or action potentials recorded extracelluarly. Since the electrode tip is placed close to the neurons cell membrane, the electrode can pick up signals as they pass by. A little bit like someone wiretapping your phone line.

We will come back to this reflex circuit in greater detail time and again as we go through this course.

And really, the basic logic of this circuit and variants of it is replicated all over the brain and teasing apart all the types of cells, their response properties, and their functional interactions or connections with one another for all types of different sensory and motor behavior is the grand challenge, beauty, and fun of modern and future neuroscience.


  1. Herculano-Houzel S, Avelino-de-Souza K, Neves K, Porfírio J, Messeder D, Mattos Feijó L, et al. The elephant brain in numbers. Front Neuroanat. (2014). 8:46. doi:10.3389/fnana.2014.00046 ↩︎

  2. Collins CE, Turner EC, Sawyer EK, Reed JL, Young NA, Flaherty DK, et al. Cortical cell and neuron density estimates in one chimpanzee hemisphere. Proc Natl Acad Sci U S A. (2016). 113:7405. doi:10.1073/pnas.1524208113 ↩︎

  3. Herculano-Houzel S. Longevity and sexual maturity vary across species with number of cortical neurons, and humans are no exception. J Comp Neurol. (2019). 527:16891705. doi:10.1002/cne.24564 ↩︎

  4. Herculano-Houzel S, Catania K, Manger PR, Kaas JH. Mammalian brains are made of these: A dataset of the numbers and densities of neuronal and nonneuronal cells in the brain of glires, primates, scandentia, eulipotyphlans, afrotherians and artiodactyls, and their relationship with body mass. Brain Behav Evol. (2015). 86:14563. doi:10.1159/000437413 ↩︎

  5. Mortensen HS, Pakkenberg B, Dam M, Dietz R, Sonne C, Mikkelsen B, et al. Quantitative relationships in delphinid neocortex. Front Neuroanat. (2014). 8:132. doi:10.3389/fnana.2014.00132 ↩︎

  6. http://www.ncbi.nlm.nih.gov/pubmed/24807023 ↩︎

  7. Bélanger, M., Allaman, I., and Magistretti, P. J. (2011). Brain energy metabolism: focus on astrocyte-neuron metabolic cooperation, Cell Metab, 14(6), 724-38 ↩︎

  8. http://faculty.washington.edu/chudler/facts.html ↩︎

  9. http://www.jneurosci.org/content/3/2/383.full.pdf ↩︎